Lymphocytic (Hashimoto) thyroiditis
|
|
|

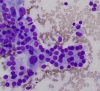
Lymphocytes and Hurthle cells/oncocytic metaplasia
|
|

Mild nuclear crowding can be a feature of lymphocytic thyroiditis.
|
|

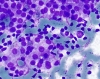
Polymorphous lymphocytes and Hurthle cells.
|
|

Polymorphous lymphocytes and Hurthle cells.
|
|

Polymorphous lymphocytes and Hurthle cells.
|
|

Hurthle cells (oncocytes) and lymphocytes.
|
|

Hurthle cells with rare crushed lymphocytes.
|
|

Polymorphous population of lymphocytes.
|
|

Hurthle cells with anisonucleosis.
|
|

Sheets of Hurthle cells and lymphocytes.
|
|

Polymorphous lymphoid population with crush artifact and few Hurthle cells.
|
|

Crowded follicular cell group with lymphoid background.
|
|
|
|