Granulomatous (subacute) thyroiditis
|
|
|

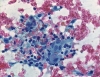
Small cluster of epithelioid histiocytes and some follicular cells.
|
|

Small cluster of epithelioid histiocytes and some follicular cells.
|
|

Polymorphous pattern with occasional epithelioid histiocytes.
|
|

Small granuloma.
|
|

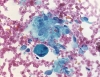
Numerous granulomas and multinucleated histiocyte (upper left).
|
|

Granuloma with multinucleated giant cell.
|
|

Granuloma.
|
|
|
|
|