Suspicious for papillary carcinoma
|
|
|

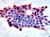
Monolayered sheet of follicular cells with oval nuclei, nuclear grooves and focal chromatin clearing.
|
|

Monolayered sheet of follicular cells with nuclear elongation, chromatin clearing and nuclear grooves.
|
|

Monolayered sheet of follicular cells with nuclear elongation, chromatin clearing and nuclear grooves
|
|

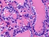
Surgical follow-up to the previous three images revealed a follicular variant of papillary carcinoma. Note the thick eosinophilic colloid within the follicles.
|
|

Follicular cells with elongated nuclei embedded in stroma. (Histologic follow-up revealed a hyalinizing trabecular adenoma.)
|
|

Follicular cells with elongated nuclei embedded in stroma. (Histologic follow-up revealed a hyalinizing trabecular adenoma.)
|
|

The hyalinizing trabecular adenoma resembles papillary thyroid carcinoma. Note, however, that the elongated nuclei are almost spindle shaped and the cells are embedded within stroma (histologic section).
|
|

Histologic view of a hyalinizing trabecular adenoma (high magnification).
|
|

Crowded sheet of atypical follicular cells associated with cystic contents.
|
|
|
|
|
|
|